![]() |
![]() |
|
||||||||||||||||
![]() |
|
![]() |
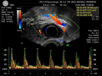
Farbdoppler-Ultraschall-Untersuchung in der Gynäkologie
Hochauflösende Ultraschalluntersuchungen in Kombination mit der 3D-4D Technik werden in unserer Praxis routinemäßig durchgeführt. Dabei werden im Rahmen der Vorsorgeuntersuchung, sowie bei reinen vorsorglichen Ultraschalluntersuchungen auf Wunsch, auffällige Tastbefunde und noch unentdeckte Befunde weiter sonografisch abgeklärt. Bei zweifelhaften Befunden der Brüstdrüsen oder von Organen der inneren Genitalien kann der zusätzliche Einsatz der Farbdopplertechnik sehr hilfreich sein. Dabei stellt diese Technik bildlich sehr genau den Blutfluss, die Flussgeschwindigkeit, den Blutflusswiderstand sowie die Blutflussrichtung aller Blutgefässe dar. Die Interpretation dieser Ergebnisse fließt als zusätzlicher „Marker“ in die Entscheidung für das weitere klinische Vorgehen ein. Ein zunächst als völlig unauffällig eingestufter Ultraschallbefund eines zystischen Befundes im Eierstock wird bei einem unerwartet auffälligen Blutfluss an der inneren Zystenwand eine zeitnahe weitere Abklärung zu Folge haben. ![]() ![]() ![]()
|
|||||||||||||||